[ Ana Sayfa | Editörler | Danışma Kurulu | Dergi Hakkında | İçindekiler | Arşiv | Yayın Arama | Yazarlara Bilgi | E-Posta ]
Fırat Tıp Dergisi
2025, Cilt 30, Sayı 4, Sayfa(lar) 282-286
[ Özet ] [ PDF ] [ Benzer Makaleler ] [ Yazara E-Posta ] [ Editöre E-Posta ]
Pyloric Atresia Associated with Epidermolysis Bullosa and Aplasia Cutis Congenita; Carmi Syndrome; Mimicking Esophageal Atresia
Canan KOCAOĞLU1, Merve ATILGAN1, Nuriye EMİROĞLU2, Hüseyin ALTUNHAN2
1Necmettin Erbakan Üniversitesi Tıp Fakültesi, Çocuk Cerrahi Anabilim Dalı, Konya, Türkiye
2Necmettin Erbakan Üniversitesi Tıp Fakültesi, Çocuk Sağlığı ve Hastalıkları Anabilim Dalı, Yenidoğan Bilim dalı, Konya, Türkiye
Keywords: Aplasia Kutis Konjenita, Carmi Sendromu, Epidermolizis Bülloza, Konjenital Pilor Atrezisi, Ösefagus Atrezisi, Aplasia Cutis Congenita, Carmi Syndrome, Congenital Pyloric Atresia, Epidermolysis Bullosa, Esophageal Atresia
Summary
Carmi syndrome, which involves epidermolysis bullosa and pyloric atresia, is a rare neonatal emergency surgical disease. We report Carmi syndrome in a neonate treated surgically. A one-day-old female neonate was consulted due to antenatal polyhydramnios, and no gas was observed on abdominal radiography. There were severe bullous skin lesions on the trunk and areas of aplasia cutis congenita on the neck and extremities. The orogastric tube could not be advanced into the stomach, and it was determined that the opaque contrast material did not pass into the stomach. The patient was opera-ted on with a preliminary diagnosis of esophageal and pyloric atresia. During intraoperative exploration, pyloric atresia was detected. Gastroduode-nostomy and gastrostomy were performed. On the 3rd postoperative day, while the proximal esophagus was aspirated, the orogastric tube reached the stomach. At first, it was thought that the reason why the orogastric tube did not reach the stomach was the narrowing of the his angle following exces-sive gastric dilatation. The patient was started on oral feeding on the 5th postoperative day. Postoperatively, the neonate began to deteriorate and eventually developed septicemia secondary to aplasia cutis and epidermolysis bullosa and passed away on the 24th postnatal day.
  • Top
  • Summary
  • Introduction
  • Case Presentation
  • Disscussion
  • References
  • Introduction
    Carmi syndrome, which is characterized by the asso-ciation of epidermolysis bullosa (EB) and pyloric atre-sia (PA), is a rare neonatal emergency surgical disease with an autosomal recessive inheritance and a well-known genetic etiology1,2. PA is a rare surgical emergency in neonates of unknown etiology, with an incidence of 1 in 100,000 live births. They constitute 1% of all intestinal obstructions. PA typically occurs in isolation, but associated anomalies are also commonly seen in 40% to 50% of the cases, and EB is the most common, while the incidence of EB is one in 300,0003,4. Carmi syndrome carries a high mortality rate owing to its systemic manifestations, such as electroly-te imbalances and septicemia5-7. We report a neonate born with Carmi Syndrome who had no gas in the abdomen and was treated surgically.
  • Top
  • Summary
  • Introduction
  • Case Presentation
  • Disscussion
  • References
  • Case Presentation
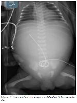
    A one-day-old female (36+5 weeks gestation, birth weight of 2070 g) was born via cesarean section with spinal anesthesia; her mother was 31 years old, gravida 7, parity 2, abortion 4. She was admitted to the newborn intensive care unit due to extensive skin lesi-ons and antenatal polyhydramnios, and there was no intraabdominal gas was seen on X-ray (Figure 1).


    Click Here to Zoom
    Figure 1: Postnatal first day no gas on abdominal X-Ray examina-tion.

    She had severe bullous skin lesions on the trunk becau-se of epidermolysis bullosa and areas of aplasia cutis congenita on the neck and extremities (Figure 2A, B) and trisomy 18.


    Click Here to Zoom
    Figure 2A, B: Aplasia cutis congenita ve epidermolizis bülloza.

    On laboratory tests, WBC 18.4 (4-10x103 uL), hemog-lobin 17.4 (12.1-17.2 g/dL), sodium 137 (136-145 mmol/L), potassium 4.54 (3.5-5.1 mmol/L), chlorine 103 (98-107 mmol/L), and C- reactive protein <0.3 (0-5 mg/L) were normal. Abdominal ultrasonography revealed a 6x7 cm cystic lesion located intraperitone-ally, distinctly identifying the left diaphragma superi-orly in the midline of the abdomen, pushing the liver posteriorly. The identified cyst is primarily compatible with a mesenteric cyst. Its connection with the intesti-nal tract could not be demonstrated sonographically." The neonate was evaluated due to antenatal polyhyd-ramnios, and no gas was present on abdominal X-ray. The orogastric tube could not be advanced into the stomach, and it was determined that the contrast mate-rial did not pass into the stomach (Figure 3).


    Click Here to Zoom
    Figure 3: Opaque material did not pass into the stomach.

    The patient was operated on with a preliminary diagno-sis of esophageal and pyloric atresia. In the periopera-tive exploration, it was seen that the stomach was cys-tic and its wall was edematous (Figure 4A, B).


    Click Here to Zoom
    Figure 4: Peroperative images (A) Cystic stomach, (B) Non-bilious serous fluid taken from the stomach.

    Type 2 pyloric atresia was identified. The stomach was opened near the pylorus, and it was ensured that there was no passage to the pylorus. Gastroduodenostomy and gastrostomy were performed (Figure 4C).


    Click Here to Zoom
    Figure 4C: Gastroduodenostomy, gastrostomy, Epidermolysis bullo-sa.

    On the third postoperative day, while the proximal esophagus was aspirated, it was observed that the orogastric tube reached the stomach. At first, it was tho-ught that the reason for the orogastric not reaching the stomach was the disruption of the His angle after excessive gastric dilatation. The patient was started on oral feeding on the 5th postoperative day and passed stool thereafter (Figure 5).


    Click Here to Zoom
    Figure 5: Postoperative seventh days, Orogastric tube.

    On the 11th postoperative day, blood count was as follows: CRP 197.6 (0-5 mg/L), procalcitonin 1.26 (0-0.046 ug/L). Candida parapsilosis was isolated from the blood culture. On the postnatal 23rd day, WBC was 17.1 (4-10x103 uL), hemoglobin was 11.1 (12.1-17.2 g/dL), CRP was 86.4 (0-5 mg/L), and procalcitonin was 14.1 (0-0.046 ug/L). The neonate began to deteriorate and eventually developed septicemia secondary to aplasia cutis and epidermolysis bullosa and passed away on the 24th postnatal day.

  • Top
  • Summary
  • Introduction
  • Case Presentation
  • Disscussion
  • References
  • Discussion
    PA can present with polyhydramnios or fetal gastric dilatation on antenatal ultrasonography8. PA is usu-ally suspected when neonates develop recurrent nonbilious vomiting and abdominal distension immediately after birth. On direct abdominal radiography, the sto-mach is dilated, and there is no other gas distal to the stomach. In our case, the angle of his was narrowed due to excessive gastric dilatation, and the abdomen was found to be free of gas because gas could not pass into the stomach9. PA is anatomically divided into three subgroups: (a) only the pyloric membrane or web (57%), (b) the pyloric canal occluded by a solid cord (34%), and (c) an atrophic pylorus with a gap between the stomach and duodenum (9%). The pyloric memb-rane is treated with Heineke-Mikulicz pyloroplasty, while type b and c variations are usually treated by excision of the atretic segment and gastroduodenostomy3,10. In our case, there was a type B pyloric atresia, and we performed gastroduodenostomy. All patients with PA should be screened in terms of trache-oesophageal fistula, renal and ureteral anomalies, and EB11.

    EB is an inherited, autosomal recessive, bullous disease characterized by mucosal erosions and skin blisters. Numerous subtypes of EB are described and are divi-ded into three major groups: EB simplex, dystrophic EB, and junctional EB. Junctional EB is further divided into three subgroups: Herlitz, non-Herlitz, and junctional EB with PA, also known as Carmi syndrome12.

    Carmi syndrome is an extremely rare autosomal reces-sive genetic disorder characterized by the coexistence of PA and junctional EB, and with aplasia cutis congenita is characterized by localized or widespread absence of skin in approximately 28% of patients13. Our case was also diagnosed with aplasia cutis congenita. The prognosis of patients with Carmi syndrome is also poor, with mortality rates of up to 75%, mostly due to sepsis and renal failure, with a median time to death of 30 days13.

    Carmi syndrome should be excluded in every neonate with PA, regardless of the degree of skin blistering. Similarly, when a patient presents with clinical signs of EB, as in our case, even if no gas is seen in the abdomen, the possibility of Carmi syndrome should be considered in newborns. It should be noted that a gas-free abdominal x-ray and pyloric atresia may mimic esophageal atresia. Carmi Syndrome follows an autosomal recessive inheritance pattern. Families should be provided with genetic counseling before having subsequent children. Families can be informed about Carmi syndrome if findings such as polyhydramnios, gastric enlargement, and lower-limb anomalies are detected during prenatal diagnosis with ultrasonography.

  • Top
  • Summary
  • Introduction
  • Case Presentation
  • Discussion
  • References
  • References

    1) Mithwani AA, Hashmi A, Adil S. Epidermolysis bullosa and congenital pyloric atresia. BMJ Case Rep 2013; 2013: bcr2013201207. DOI: 10.1136/bcr-2013-201207. PMID: 24068383; PMCID: PMC3794265.

    2) Birnbaum RY, Landau D, Elbedour K, Ofir R, Birk OS, Carmi R. Deletion of the first pair of fibronectin type III repeats of the integrin beta-4 gene is associated with epidermolysis bullosa, pyloric atresia and aplasia cutis congenita in the original Carmi syndrome patients. Am J Med Genet A 2008; 146: 1063-6.

    3) Sahebpor AA, Ghafari V, Shokohi L. Pyloric atresia associated with epidermolysis bullosa. Indian Pediatr 2008; 45: 849-51.

    4) Gupta R, Soni V, Mathur P, Goyal RB. Congenital pyloric atresia and associated anomalies: a case series. J Neonatal Surg 2013; 2: 40.

    5) Bıçakcı U, Tander B, Cakmak Çelik F, Arıtürk E, Rızalar R. Pyloric atresia associated with epidermolysis bullosa: report of two cases and review of the literature. Ulus Travma Acil Cerrahi Derg 2012; 18: 271-3.

    6) Tarakçı N, Konak M, Altunhan H, Yurtçu M, Örs R. Hypernatremic Dehydration Associated with Pyloric Atresia. Selcuk Med J 2017; 33: 78-9.

    7) Joshi M, Krishnan L, Kuruvila S. Large Gastric Perforation in Carmi Syndrome: A Morbid Comp-lication in a Rare Association sis and fluid loss are major cause of mortality in EB. J Neonatal Surg 2012; 1: 57.

    8) Nazzaro V, Nicolini U, De Luca L, Berti E, Capu-to R. Prenatal diagnosis of junctional epidermoly-sis bullosa associated with pyloric atresia. J Med Genet 1990; 27: 244-8.

    9) Kocaoglu C, Akillioglu I, Gunduz M, Sekmenli. T. Unexpected Death Due to Acute Gastric Dilatation and Gastric Necrosis in an 11-Year-Old Boy. Pe-diatr Emerg Care 2017; 33: e131-3.

    10) Ilce, Z, Erdogan E, Kara C et al. Pyloric atresia: 15-year review from a single institution. J Pediatr Surg 2003; 38: 1581-4.

    11) Okoye BO, Parikh DH, Buick RG, Lander AD. Pyloric atresia: five new cases, a new association, and a review of the literature with guidelines. J Pediatr Surg 2000; 35: 1242-5.

    12) Fine JD, Eady RA, Bauer EA, Bauer JW et al. The classification of inherited epidermolysis bullosa (EB): Report of the Third International Consensus Meeting on Diagnosis and Classification of EB. J Am Acad Dermatol 2008; 58: 931-50.

    13) Mylonas KS, Hayes M, Ko LN, Griggs CL, Kros-hinsky D, Masiakos PT. Clinical outcomes and molecular profile of patients with Carmi syndrome: A systematic review and evidence quality assessment. J Pediatr Surg 2019; 54: 1351-8.

  • Top
  • Summary
  • Introduction
  • Case Presentation
  • Discussion
  • References
  • [ Başa Dön ] [ Özet ] [ PDF ] [ Benzer Makaleler ] [ Yazara E-Posta ] [ Editöre E-Posta ]
    [ Ana Sayfa | Editörler | Danışma Kurulu | Dergi Hakkında | İçindekiler | Arşiv | Yayın Arama | Yazarlara Bilgi | E-Posta ]